Beyin Metastazlari Prof Dr Selcuk Peker Beyin Ve Sinir Cerrahisi Uzmani

Beyin Metastazlari Prof Dr Selcuk Peker Beyin Ve Sinir Cerrahisi Uzmani

Beyin Metastazi Belirtileri Nedenleri Ve Risk Faktorleri Nelerdir

Beyin Metastazi Belirtileri Nedenleri Ve Risk Faktorleri Nelerdir

Beyin Metastazi Doc Dr Ozgur Celik Beyin Ve Sinir Cerrahisi Uzmani

Beyin Metastazi Doc Dr Ozgur Celik Beyin Ve Sinir Cerrahisi Uzmani

Beyin Metastazi Belirtileri Ve Tedavisi Beyin Gen Tr

Beyin Metastazi Belirtileri Ve Tedavisi Beyin Gen Tr

Beyin Metastazlari Doc Dr Kadir Tufan Beyin Ve Sinir Cerrahisi Uzmani

Beyin Metastazlari Doc Dr Kadir Tufan Beyin Ve Sinir Cerrahisi Uzmani

Prof Dr Turker Kilic Beyin Ve Sinir Cerrahisi Uzmani Www Beyincerrahisi Net

Prof Dr Turker Kilic Beyin Ve Sinir Cerrahisi Uzmani Www Beyincerrahisi Net

Prof Dr Turker Kilic Beyin Ve Sinir Cerrahisi Uzmani Www Beyincerrahisi Net

Metastatik Beyin Tumorleri Doc Dr Kadir Tufan Beyin Ve Sinir Cerrahisi Uzmani

Metastatik Beyin Tumorleri Doc Dr Kadir Tufan Beyin Ve Sinir Cerrahisi Uzmani

Beyin Metastazlari Klinik Olarak En Sik Gorulen Beyin Tumorleridirler

Beyin Metastazlari Klinik Olarak En Sik Gorulen Beyin Tumorleridirler

Kanserle Dans Beyin Metastazlari Bolum I

Kanserle Dans Beyin Metastazlari Bolum I

Metastatik Beyin Tumorleri Doc Dr Kadir Tufan Beyin Ve Sinir Cerrahisi Uzmani

Metastatik Beyin Tumorleri Doc Dr Kadir Tufan Beyin Ve Sinir Cerrahisi Uzmani

Case 26 Beyin Metastazi 2 Hosgeldiniz

Case 26 Beyin Metastazi 2 Hosgeldiniz

Case 26 Beyin Metastazi 1 Hosgeldiniz

Case 26 Beyin Metastazi 1 Hosgeldiniz

Beyin Metastazlari Doc Dr Kadir Tufan Beyin Ve Sinir Cerrahisi Uzmani

Beyin Metastazlari Doc Dr Kadir Tufan Beyin Ve Sinir Cerrahisi Uzmani

Beyin Metastazi Belirtileri Belirtileri Com

Beyin Metastazi Belirtileri Belirtileri Com

Case 26 Beyin Metastazi 3 Hosgeldiniz

Case 26 Beyin Metastazi 3 Hosgeldiniz

Beyin Metastazlarinda Uygulanisi International Gamma Knife Center Istanbul Facebook

Beyin Metastazlarinda Uygulanisi International Gamma Knife Center Istanbul Facebook

Beyin Metastazi Tespitinde Kan Testi

Beyin Metastazi Tespitinde Kan Testi

Daha Onceden Tedavi Altinda Beyin Metastazi Olan Veya Ilerleyen Khdak Tedavisinde Yeni Tedavi Umut Veriyor

Daha Onceden Tedavi Altinda Beyin Metastazi Olan Veya Ilerleyen Khdak Tedavisinde Yeni Tedavi Umut Veriyor

Beyin Metastazlari Doc Dr Kadir Tufan Beyin Ve Sinir Cerrahisi Uzmani

Beyin Metastazlari Doc Dr Kadir Tufan Beyin Ve Sinir Cerrahisi Uzmani

Beyin Metastazitumoru Tedavisi Nororadyoloji Teshis Tani Beyin Tumoru Yayilmasi Astrositoma

Beyin Metastazitumoru Tedavisi Nororadyoloji Teshis Tani Beyin Tumoru Yayilmasi Astrositoma

Beyin Metastazi Op Dr Umut Yaka

Beyin Metastazi Op Dr Umut Yaka

Pdf Precocious Brain Metastasis Of Colorectal Cancer A Report Of Two Cases

Pdf Precocious Brain Metastasis Of Colorectal Cancer A Report Of Two Cases

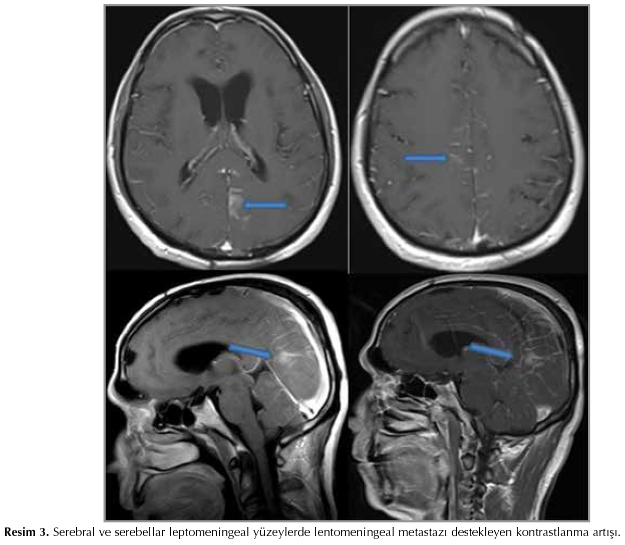
Tuberkuloz Ve Toraks Egfr Akciger Adenokarsinomunun Leptomeningeal Metastazi Olgu Sunumu

Tuberkuloz Ve Toraks Egfr Akciger Adenokarsinomunun Leptomeningeal Metastazi Olgu Sunumu

Beyin Metastazi Tedavisi Neolife Tip Merkezi Istanbul

Beyin Metastazi Tedavisi Neolife Tip Merkezi Istanbul

Beyin Metastazlari Doc Dr Kadir Tufan Beyin Ve Sinir Cerrahisi Uzmani

Beyin Metastazlari Doc Dr Kadir Tufan Beyin Ve Sinir Cerrahisi Uzmani

Source : pinterest.com
counter
close