Covid 19 Lung Patterns Show Few Clues For Treating Pneumonia

Covid 19 Lung Patterns Show Few Clues For Treating Pneumonia

Normal Ct Abdomen Radiology Case Radiopaedia Org

Normal Ct Abdomen Radiology Case Radiopaedia Org

Computed Tomography Of The Abdomen And Pelvis Wikipedia

Computed Tomography Of The Abdomen And Pelvis Wikipedia

Https Www Journalagent Com Terh Pdfs Terh 13549 Review Pekcevik Pdf

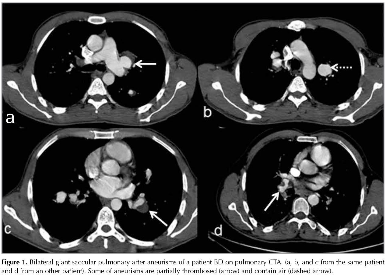
Https Www Journalagent Com Terh Pdfs Terh 13549 Review Pekcevik Pdf

Tuberkuloz Ve Toraks Behcet Hastaliginda Gorulen Toraks Bilgisayarli Tomografi Bulgularini Kavrama

Tuberkuloz Ve Toraks Behcet Hastaliginda Gorulen Toraks Bilgisayarli Tomografi Bulgularini Kavrama

Https Www Journalagent Com Terh Pdfs Terh 13549 Review Pekcevik Pdf

Https Www Journalagent Com Terh Pdfs Terh 13549 Review Pekcevik Pdf

Https Www Journalagent Com Terh Pdfs Terh 13549 Review Pekcevik Pdf

Gale Academic Onefile Document Mediastinal Lymph Nodes In Healthy Children Frequency Size Range And Distribution By Age Saglikli Cocuklarda Mediastinal Lenf Ganglionlari Yasa Gore Siklik Boyut Araligi Ve Dagilim

Gale Academic Onefile Document Mediastinal Lymph Nodes In Healthy Children Frequency Size Range And Distribution By Age Saglikli Cocuklarda Mediastinal Lenf Ganglionlari Yasa Gore Siklik Boyut Araligi Ve Dagilim

Magnetic Resonance Imaging Wikipedia

Magnetic Resonance Imaging Wikipedia

Https Www Researchgate Net Publication 317609353 The Role Of Imaging In Testicular Cancer Diagnosis Staging And Follow Up Fulltext 594341bca6fdccb93ab27796 The Role Of Imaging In Testicular Cancer Diagnosis Staging And Follow Up Pdf

Https Www Researchgate Net Publication 317609353 The Role Of Imaging In Testicular Cancer Diagnosis Staging And Follow Up Fulltext 594341bca6fdccb93ab27796 The Role Of Imaging In Testicular Cancer Diagnosis Staging And Follow Up Pdf

Laparoscopic Repair Of Morgagni Hernia Springerlink

Laparoscopic Repair Of Morgagni Hernia Springerlink

Uzpjeno7j7amam

Uzpjeno7j7amam

Gale Onefile Health And Medicine Document Approach To Appendiceal Masses Due To Acute Appendicitis Analysis Of 126 Cases Akut Apandisite Bagli Gelisen Apendiks Kitlelerine Yaklasim 126 Olgunun Analizi

Gale Onefile Health And Medicine Document Approach To Appendiceal Masses Due To Acute Appendicitis Analysis Of 126 Cases Akut Apandisite Bagli Gelisen Apendiks Kitlelerine Yaklasim 126 Olgunun Analizi

Http Cms Galenos Com Tr Uploads Article 30144 Mirt 28 126 En Pdf

Http Cms Galenos Com Tr Uploads Article 30144 Mirt 28 126 En Pdf

Https Www Journalagent Com Terh Pdfs Terh 13549 Review Pekcevik Pdf

Https Www Journalagent Com Terh Pdfs Terh 13549 Review Pekcevik Pdf

Midgut Volvulus Radiology Reference Article Radiopaedia Org

Midgut Volvulus Radiology Reference Article Radiopaedia Org

Https Www Journalagent Com Terh Pdfs Terh 13549 Review Pekcevik Pdf

Https Www Journalagent Com Terh Pdfs Terh 13549 Review Pekcevik Pdf

A94gyq2tycfhm

A94gyq2tycfhm

Basal Ganglia Calcification Radiology Reference Article Radiopaedia Org

Basal Ganglia Calcification Radiology Reference Article Radiopaedia Org

Tomography Wikipedia

Tomography Wikipedia

Ct Findings Of Patients Infected With Sars Cov 2 Bmc Medical Imaging Full Text

Ct Findings Of Patients Infected With Sars Cov 2 Bmc Medical Imaging Full Text

Optical Coherence Tomography Basic Concepts And Applications In Neuroscience Research

Optical Coherence Tomography Basic Concepts And Applications In Neuroscience Research

Http Www Solunum Org Tr Solunum2013 Ll0lgvo30l Pdf

Http Www Solunum Org Tr Solunum2013 Ll0lgvo30l Pdf

Gale Onefile Health And Medicine Document A Rare Mimicker Of An Adrenal Carcinoma Co Occurrence Of Hemorrhagic Pseudocyst And Myelolipoma Adrenal Karsinomun Nadir Bir Taklitcisi Hemorajik Psodokist Ve Miyelolipomun Birlikte Olusumu

Gale Onefile Health And Medicine Document A Rare Mimicker Of An Adrenal Carcinoma Co Occurrence Of Hemorrhagic Pseudocyst And Myelolipoma Adrenal Karsinomun Nadir Bir Taklitcisi Hemorajik Psodokist Ve Miyelolipomun Birlikte Olusumu

Https Covid19 Tubitak Gov Tr Sites Default Files Docs 2020 03 Covid 19 Raporu Ozge Findik Sener Pdf

Https Covid19 Tubitak Gov Tr Sites Default Files Docs 2020 03 Covid 19 Raporu Ozge Findik Sener Pdf

Pemeriksaan Mri Magnetic Resonance Imaging Rs Awal Bros

Pemeriksaan Mri Magnetic Resonance Imaging Rs Awal Bros

Source : pinterest.com
counter
close